Banque d’images et de vidéos au service de l’illustration scientifique - Imaginée et développée par Hervé CONGE

Photos et vidéos d'Histologie animale

 

L'histologie est la science qui étudie les tissus des êtres vivants, animaux, végétaux, champignons. Ces tissus sont constitués de cellules (la science qui les étudie est la cytologie) et forment des organes.

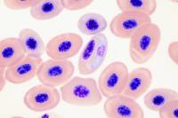
Dans cette vaste rubrique, nous distinguerons les tissus en fonction de leur rôles fonctionnels et l'appareil ou les appareil(s) auquel(s) ils appartiennent. Une première partie est réservée à l'étude des cellules animales seules, telles que l'on peut les observer au microscope optique.

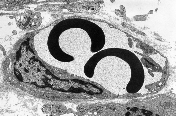
Une autre s'intéresse à leur ultrastructure, autrement dit aux organites que l'on trouve dans certains types cellulaires, et qui ne sont discernables qu'au moyen d'un microscope électronique à transmission (MET), impliquant des grossissements bien plus importants que ceux utiles sur les microscopes optiques.

Une dernière partie regroupe bon nombre d'êtres vivants responsables de pathologies chez l'Homme et les animaux, incluant les organismes parasites.