Banque d’images et de vidéos au service de l’illustration scientifique - Imaginée et développée par Hervé CONGE

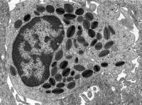
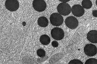
Photos et vidéos d'Ultrastructures (MET)

 

L'ultrastructure des cellules (structure très fine et détaillée des cellules) n'a pu être accessible aux chercheurs en cytologie qu'après la découverte du microscope électronique à transmission, ou MET, technologie majeure qui a ouvert les portes de l'intimité des cellules de tous types.

Le microscope optique n'est malheureusement pas capable de grossir indéfiniment : la qualité des optiques, la nature de la lumière visible et les longueur d'ondes accessibles, l'indice de réfraction du milieu d'observation, ont des limites incontournables, qui limitaient l'ampleur des grossissements efficaces et la finesse des détails observables. En microscopie optique, les plus fins détails discernables étaient limités à environ 0,2 µm (0,0002 mm), et les grossissements les plus élevés ne dépassaient pas 2000 x.

Le microscope électronique, découvert en 1931, et largement perfectionné depuis, est basé sur l'émission de faisceaux d'électrons qui traversent l'objet observé, ou sont réfléchis par la surface de celui-ci (préalablement traitée à cette fin). Il autorise des grossissements utiles pouvant atteindre plus de 1 000 000x. Les plus fins détails observés sont de l'ordre de 0,2 nm, soit un pouvoir séparateur 1000 fois plus grand que celui permis par la voie optique. On parvient ainsi à observer des macromolécules, et parfois même, avec des améliorations spécifiques, des atomes volumineux (à 50 000 000 x) !

Cette haute technologie a permis de révéler, par exemple, la structure bi-couche, de nature lipidique, des membranes cellulaires, la présence que très nombreux organites (minuscules organes des cellules animales et végétales), aux fonctions spécifiques, présents dans le cytoplasme des cellules eucaryotes, la présence des chromosomes "dilués" dans le noyau en dehors des mitoses, leur nature filamenteuse complexe, et ouvert d'immenses domaines d'étude sur la physiologie des ces entités microscopiques qui constituent tous les êtres vivants : les cellules.
 
Les photographies obtenues en microscopie électronique sont toujours en noir et blanc : les couleurs visibles sur de nombreux clichés, parfois spectaculaires, sont toujours apportées, à postériori, par un traitement informatique. Nous ne présentons, dans cette rubrique, que des vues originales, donc en N & B.