Banque d’images et de vidéos au service de l’illustration scientifique - Imaginée et développée par Hervé CONGE

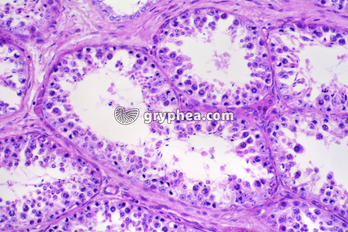
Testicule Homme x100

Testicule Homme x100 - gryphea.com
Type : Photographie
Référence : BN 40512
Auteur : Hervé Conge
Edition et PresseNumérique et Internet

Choisissez un format

Valeur du crédit
1 crédit = 6.00€ TTC
(Hors pack)

si vous êtes enseignant, le site gryphea.org a été conçu spécialement pour vous !

Légende :

Le tube séminifère présente une enveloppe externe mince constituée de tissu conjonctif, à l’intérieur duquel différentes catégories de cellules participent directement ou indirectement à la formation des gamètes, les spermatozoïdes, que l’on reconnait aisément à leur forme caractéristique, comportant un flagelle très long et fin, permettant leur déplacement en milieu liquide (nage). L’épithélium séminal comporte d’innombrables cellules germinales, à différents stades de maturation, et formant l’essentiel des populations cellulaires de la paroi du tube, ainsi que des cellules au rôle de soutien, plus rares, au noyau clair et pourvu d’un nucléole bien identifiable, les cellules de Sertoli. Celles-ci sont également responsables de la synthèse de l’hormone antimullérienne (AMH) lors du développement embryonnaire de l’organisme mâle, et de l’inhibine, hormone agissant par rétrocontrôle négatif sur l’hypohyse,[...]

La suite du commentaire est réservée aux inscrits, créez un compte gratuitement.

Thèmes associés : TissusSystème reproducteur