Banque d’images et de vidéos au service de l’illustration scientifique - Imaginée et développée par Hervé CONGE

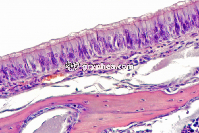
Epithélium trachéen x160

Epithélium trachéen x160 - gryphea.com
Type : Photographie
Référence : N 9514
Auteur : Hervé Conge
Edition et PresseNumérique et Internet

Choisissez un format

Valeur du crédit
1 crédit = 6.00€ TTC
(Hors pack)

si vous êtes enseignant, le site gryphea.org a été conçu spécialement pour vous !

Légende :

 

La trachée est le principal conduit de l’air entre le pharynx et les poumons, parallèle à l’oesophage et située en position ventrale par rapport à celui-ci. Elle comporte notamment une paroi semi-rigide formée d’anneaux cartilagineux et une muqueuse interne bordée par un épithélium formé de cellules ciliées et de cellules sécrétant du mucus.

Les cils vibratiles de la muqueuse mettent en mouvement une fine pellicule de mucus élaborée par les glandes acineuses et les cellules caliciformes. Ils la font remonter en direction du pharynx, où le mucus sera dégluti et redirigé vers l’estomac, avec toutes les particules étrangères (poussières, polluants solides et micro-organismes) qui auront été piégées lors de la circulation de l’air dans les voies respiratoires. Ce tapis muco-ciliaire joue un rôle essentiel dans la fonction pulmonaire.

La fluidité du mucus peut-être affectée par une maladie héréditaire handicapante, la mucoviscidose, où les mucosités, devenues trop visqueuses pour pouvoir être évacuées, s’accumulent dans les bronches et rendent la respiration difficile.

...

La suite du commentaire est réservée aux inscrits, créez un compte gratuitement.
Thèmes associés : TissusSystème respiratoire
Mots clés :
système respiratoiretrachéevoie aérienne profondezone de conduction de l’airmuqueusecellules ciliéescellules à mucuscellules caliciformesglandes acineusescartilageanneau de cartilagecellules musculaires lissesmuscle striémuscle lisseépithélium respiratoireépithélium bronchiqueadventicetapis muco-ciliairemucustrachéitemucoviscidose