Banque d’images et de vidéos au service de l’illustration scientifique - Imaginée et développée par Hervé CONGE

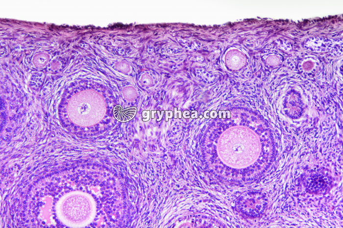
Ovaire de Lapine, cortex avec follicules secondaires x100

Ovaire de Lapine, cortex avec follicules secondaires x100 - gryphea.com
Type : Photographie
Référence : BN 40122c
Auteur : Hervé Conge
Edition et PresseNumérique et Internet

Choisissez un format

Valeur du crédit
1 crédit = 6.00€ TTC
(Hors pack)

si vous êtes enseignant, le site gryphea.org a été conçu spécialement pour vous !

Légende :

 

Les follicules sont des structures constituées d’un ovocyte entouré de cellules épithéliales appelée cellules folliculaires, ainsi que de cellules thécales, issues du stroma ovarien. Une lame basale, appelée membrane de Slavjanski, délimite le follicule du stroma environnant.

Le follicule secondaire se distingue par un volume plus important que celui du follicule primaire (augmentation de taille), dû à la fois à l’augmentation de volume de l’ovocyte I et de la couronne périphérique de cellules folliculaires, qui se sont multipliées rapidement. Cette prolifération intense a engendré un ensemble de cellules folliculaires disposées en couches concentriques, qualifié de granulosa, A la limite entre l’ovocyte et la granulosa, une auréole d’épaisseur régulière est devenue nettement visible :[...]

La suite du commentaire est réservée aux inscrits, créez un compte gratuitement.

Thèmes associés : TissusSystème reproducteur
Mots clés :
follicule ovarienfollicules ovariensovaire de lapinefollicule secondairesystème reproducteurfollicule primairefollicule primordialfolliculescellules thécalesthèquestromaovaireovarienmembrane de slavjanskilame basalefolliculogenèsecellules folliculairesgranulosazone pellucideliquide folliculairecavités