Banque d’images et de vidéos au service de l’illustration scientifique - Imaginée et développée par Hervé CONGE

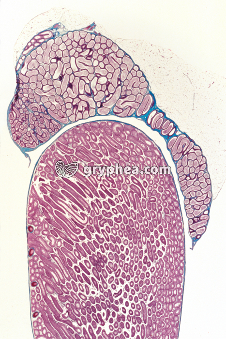
Testicule et épididyme de Rat CL x2

Testicule et épididyme de Rat CL x2 - gryphea.com
Type : Photographie
Référence : N 16714
Auteur : Hervé Conge
Edition et PresseNumérique et Internet

Choisissez un format

Valeur du crédit
1 crédit = 6.00€ TTC
(Hors pack)

si vous êtes enseignant, le site gryphea.org a été conçu spécialement pour vous !

Légende :

Les testicules sont les organes pairs, responsables de la production des gamètes mâles (spermatozoïdes), mais aussi de la synthèse d’hormones sexuelles mâles, de type androgènes, qui interviennent dans le développement de l’organisme mâle (masculin).

Chez les mammifères, le testicule est entouré d’une enveloppe protectrice constituée de tissu conjonctif, l’albuginée, qui se ramifie à l’intérieur de l’organe pour former des cloisons transverses délimitant des lobules. L’essentiel du testicule est rempli de tubes à paroi épaisse, les tubes séminifères, dans lesquels se déroulent les phénomènes de formation et de maturation des spermatozoïdes (spermatogenèse).

Entre les tubes séminifères, un tissu interstitiel richement vascularisé renferme des cellules sécrétrices d’hormones androgènes, les cellules de Leydig.

A faible grossissement, on peut aisément distinguer dans un testicule de nombreux tubes[...]

La suite du commentaire est réservée aux inscrits, créez un compte gratuitement.

Thèmes associés : Système reproducteur
Mots clés :
testicule de ratsystème reproducteurtesticuletesticulairegamètemâlespermatozoïdecellules de leydighormoneandrogènetestostéronealbuginéeseptumlobuletube séminifèrespermatogenèsespermiogenèsetissu interstitielvascularisévascularisationcellules sécrétriceslumièreflagellecellules de sertolispermatogoniespermatocyte ispermatocyte iispermatidecellules germinalesreproduction sexuée