Banque d’images et de vidéos au service de l’illustration scientifique - Imaginée et développée par Hervé CONGE

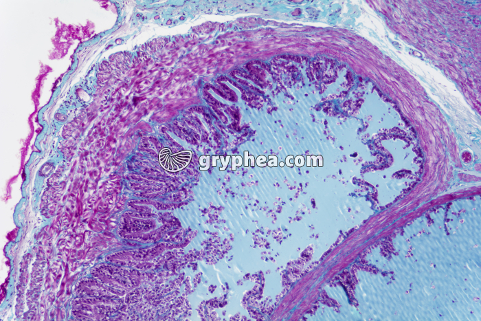
Vésicule séminale x25

Vésicule séminale x25 - gryphea.com
Type : Photographie
Référence : BN 52116b
Auteur : Hervé Conge
Edition et PresseNumérique et Internet

Choisissez un format

Valeur du crédit
1 crédit = 6.00€ TTC
(Hors pack)

si vous êtes enseignant, le site gryphea.org a été conçu spécialement pour vous !

Légende :

Les vésicules séminales sont des organes pairs dont les sécrétions sont déversées dans les canaux éjaculateurs qui se rejoignent et confluent avec l’urêtre au niveau de la prostate. Leur structure alvéolaire présente des replis anastomosés se rejoignant au centre de la lumière des cavités et suggère une sorte de dentelle. Comme pour la prostate, les vésicules séminales possèdent une adventice externe, une musculeuse (muscles lisses longitudinaux externes et muscles circulaires internes) peu épaisse. et une muqueuse dont l’épithélium comporte des cellules cylindriques. Les sécrétions des vésicules séminales, riches en fructose, représentent environ 70 % du liquide spermatique.



La suite du commentaire est réservée aux inscrits, créez un compte gratuitement.
Thèmes associés : TissusSystème reproducteur
Mots clés :
système reproducteurvésicule séminalesécrétionscanaux éjaculateursprostateurètreadventicemusculeusemuqueuseépithéliumstructure en dentellleliquide spermatiquespermefructoseprostaglandines