Banque d’images et de vidéos au service de l’illustration scientifique - Imaginée et développée par Hervé CONGE

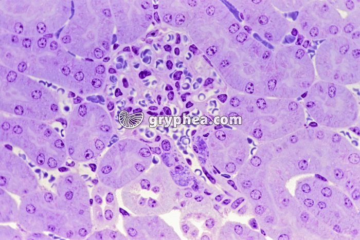
Rein - Système juxtaglomérulaire (cortex rénal) x160

Rein - Système juxtaglomérulaire (cortex rénal) x160 - gryphea.com
Type : Photographie
Référence : C 4809b
Auteur : Hervé Conge
Edition et PresseNumérique et Internet

Choisissez un format

Valeur du crédit
1 crédit = 6.00€ TTC
(Hors pack)

si vous êtes enseignant, le site gryphea.org a été conçu spécialement pour vous !

Légende :

 

L’appareil juxtaglomérulaire joue un rôle important dans la régulation du volume intravasculaire, et donc de la pression artérielle, par le biais de la production d’une hormone appelée rénine. Les cellules sécrétrices de rénine bordent la paroi des artérioles afférentes des glomérules rénaux et plus discrètement dans celle des artérioles efférentes. Elles sont reconnaissables aux granules plus sombres visibles dans le cytoplasme de certaines cellules longeant les vaisseaux, à proximité immédiate des glomérules. La rénine est responsable de la conversion de l’angiotensinogène inactif en angiotensine active, qui ira stimuler les cellules de la zone glomérulée de la corticosurrénale, ce qui induira une augmentation de la production d’aldostérone. En conséquence, la réabsorption de[...]

La suite du commentaire est réservée aux inscrits, créez un compte gratuitement.

Mots clés :
système endocrinienappareil juxta-glomérulairejuxtaglomérulairegloméruleartère afférentegranulecytoplasmiquerénineangiotension activeangiotensinogène inactifvolume plasmatiquealdostéronehoméostasievascularisationendocrineglande endocrinehormoneréabsorption de l'eauréabsorption du sodiumrégulation de la pression artériellefiltration glomérulaire