Banque d’images et de vidéos au service de l’illustration scientifique - Imaginée et développée par Hervé CONGE

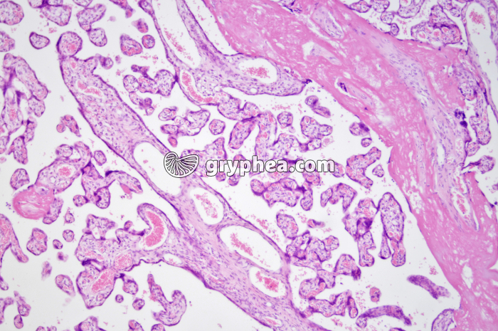
Placenta humain x25

Placenta humain x25 - gryphea.com
Type : Photographie
Référence : XN 30395-60
Auteur : Hervé Conge
Edition et PresseNumérique et Internet

Choisissez un format

Valeur du crédit
1 crédit = 6.00€ TTC
(Hors pack)

si vous êtes enseignant, le site gryphea.org a été conçu spécialement pour vous !

Légende :

Le placenta est un organe à durée de vie très limité à la gestation (grossesse) chez les Mammifères. Ce tissu éphémère, lié à l’existence d’un foetus, assure les échanges nutritifs et respiratoires entre la mère et le foetus : il permet le passage des nutriments et de l’oxygène présents dans le sang de la mère, de transiter, via le cordon ombilical, dans le sang du ou des jeunes en cours de gestation. Inversement, il permet de transfert des déchets métaboliques et du CO2 provenant du foetus dans le sang de la mère, qui les excrétera en même temps que les siens. Les mammifères disposant d’un placenta complexe sont qualifiés de placentaires euthériens. Le placenta produit aussi plusieurs hormones, dont la progestérone, l’hormone de croissance placentaire (PGH) et l’HCG.



La suite du commentaire est réservée aux inscrits, créez un compte gratuitement.
Mots clés :
placenta de sourissystème reproducteurplacentaplacentairegrossessegestationmammifèreseuthérienstissuéphémèreéchanges nutritifséchanges respiratoireshormonescordon ombilicalprogestéronehcgpghhormone de croissance placentaireleptinegonadotropine