Banque d’images et de vidéos au service de l’illustration scientifique - Imaginée et développée par Hervé CONGE

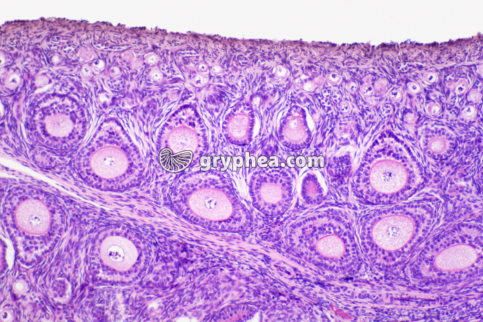
Ovaire pré-pubertaire Lapine x40

Ovaire pré-pubertaire Lapine x40 - gryphea.com
Type : Photographie
Référence : BN 52232
Auteur : Hervé Conge
Edition et PresseNumérique et Internet

Choisissez un format

Valeur du crédit
1 crédit = 6.00€ TTC
(Hors pack)

si vous êtes enseignant, le site gryphea.org a été conçu spécialement pour vous !

Légende :

Les follicules sont des structures constituées d’un ovocyte entouré de cellules épithéliales appelée cellules folliculaires, ainsi que de cellules thécales, issues du stroma ovarien. Une lame basale, appelée membrane de Slavjanski, délimite le follicule du stroma environnant.

Le follicule secondaire se distingue par un volume plus important que celui du follicule primaire (augmentation de taille), dû à la fois à l’augmentation de volume de l’ovocyte I et de la couronne périphérique de cellules folliculaires, qui se sont multipliées rapidement. Cette prolifération intense a engendré un ensemble de cellules folliculaires disposées en couches concentriques, qualifié de granulosa, A la limite entre l’ovocyte et la granulosa, une auréole d’épaisseur régulière est devenue nettement visible : la zone pellucide.

Dans les follicules secondaires âgés, on peut distinguer quelques petites cavités irrégulières remplies de liquide folliculaire, que l’on[...]

La suite du commentaire est réservée aux inscrits, créez un compte gratuitement.

Thèmes associés : TissusSystème reproducteur
Mots clés :
ovaire de lapinefollicule secondairesystème reproducteurfolliculeprimordialprimairesecondairepleincellules thécalesthèquestromaovaireovarienmembrane de slavjanskilame basalefolliculogenèsecellules folliculairesgranulosazone pellucideliquide folliculairecavités