Type : Photographie
Référence : XN 30397-61
Auteur : Hervé Conge
Edition et PresseNumérique et Internet
Valeur du crédit
1 crédit = 6.00€ TTC
(Hors pack)
1 crédit = 6.00€ TTC
(Hors pack)
si vous êtes enseignant, le site gryphea.org a été conçu spécialement pour vous !
Edition et Presse
Paramètres additionnels
Tirage
Distribution
Durée d'utilisation
Droits numériques en sus
Total : crédits
Ajouter au panier
Numérique et Internet
Paramètres additionnels
Numérique
Internet
Durée d'utilisation
Total : crédits
Ajouter au panier
Numérique et Internet
Paramètres additionnels
Numérique
Internet
Durée d'utilisation
Total : 4 crédits
Ajouter au panier
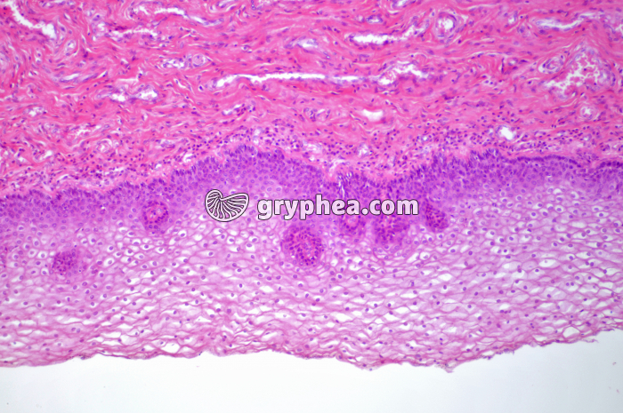
Légende :
La suite du commentaire est réservée aux inscrits, créez un compte gratuitement.
C’est l’organe l’accouplement de l’appareil reproducteur femelle (ou féminin), qui relie l’utérus à la vulve chez les mammifères, et l’utérus au cloaque chez les oiseaux et les reptiles (et apparentés). Il est tapissé par une muqueuse de type pavimenteux stratifié et non kératinisé (épithélium de type malpighien).
La suite du commentaire est réservée aux inscrits, créez un compte gratuitement.
Thèmes associés :
Système reproducteur