Banque d’images et de vidéos au service de l’illustration scientifique - Imaginée et développée par Hervé CONGE

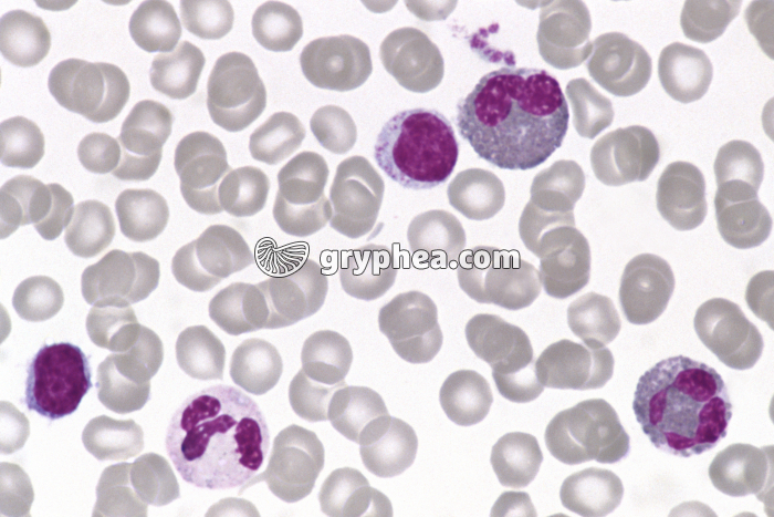
Moelle osseuse x400

Moelle osseuse x400 - gryphea.com
Type : Photographie
Référence : C 3123
Auteur : Hervé Conge
Edition et PresseNumérique et Internet

Choisissez un format

Valeur du crédit
1 crédit = 6.00€ TTC
(Hors pack)

si vous êtes enseignant, le site gryphea.org a été conçu spécialement pour vous !

Légende :

Organe situé à l’intérieur des os, sous la forme de tissu adipeux (moelle jaune localisée dans la diaphyse des os longs) ou de tissu très riche en cellules sanguines (moelle rouge de l’os spongieux, localisé dans les épiphyses des os longs ou dans les os plats). La moelle rouge est responsable de la synthèse des cellules du sang, comme les globules rouges, et celles du système immunitaire, comme les globules blancs et les plaquettes sanguines.



La suite du commentaire est réservée aux inscrits, créez un compte gratuitement.
Mots clés :
sang et système circulatoiremoelle osseusemoelle jaunemoelle rougeosos spongieuxcellules sanguinesimmunitéimmunologiecellule immunitairehématopoïèsethrombopoïèseérythropoïèseleucopoïèsetissu adipeuxcellule soucheglobule rougeglobule blancplaquettesmyéloblastemyélocytepro-myélocytelymphoblastelymphocyteréticulocyteérythroblastepro-érythroblastemégacaryocytethrombocytemonocytemacrophageleucémiemyélome