Banque d’images et de vidéos au service de l’illustration scientifique - Imaginée et développée par Hervé CONGE

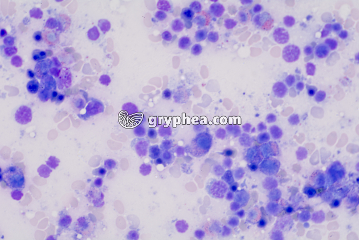
Moelle osseuse frottis x100

Moelle osseuse frottis x100 - gryphea.com
Type : Photographie
Référence : BN 51926b
Auteur : Hervé Conge
Edition et PresseNumérique et Internet

Choisissez un format

Valeur du crédit
1 crédit = 6.00€ TTC
(Hors pack)

si vous êtes enseignant, le site gryphea.org a été conçu spécialement pour vous !

Légende :

La moelle osseuse présente 2 aspects et 2 localisations différentes : la moelle rouge, responsable de la fabrication des cellules sanguines (globules rouges ou hématies, globules blancs ou leucocytes, et plaquettes sanguines), et la moelle jaune, principalement constituée de tissu adipeux. La moelle osseuse rouge contient les cellules souches hématopoïétiques, capables d’évoluer en n’importe quelle catégorie de cellules sanguines, et des cellules de soutien, les cellules stromales. On la trouve dans l’os spongieux des épiphyses (extrémités) des os longs, des vertèbres et de tous les os plats. La moelle osseuse jaune remplit la cavité centrale et oblongue des os longs, au niveau des diaphyses (partie située entre les épiphyses).

La moelle osseuse rouge est sujette à plusieurs maladies graves, comme les leucémies, la drépanocytose ou les thalassémies. Elle peut être transfusée à des malades lors d’un don de moelle.



La suite du commentaire est réservée aux inscrits, créez un compte gratuitement.
Thèmes associés : Système immunitaire
Mots clés :
moelleosseusemoelle rougemoelle jaunehématopoïèsehématopoïétiquecellules souchescshhématiesglobules rougesleucocytesglobules blancsplaquettes sanguinescellule stromaleos spongieuxos compactépiphysediaphyseos longos platvertèbreleucémiedrépanocytosethalassémiegreffe de moelledon de moelletransfusiontransfert de moelleos iliaquesternumcôtesystème immunitaire