Banque d’images et de vidéos au service de l’illustration scientifique - Imaginée et développée par Hervé CONGE

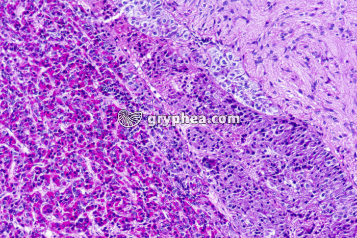
Hypophyse x50

Hypophyse x50 - gryphea.com
Type : Photographie
Référence : BN 52456br
Auteur : Hervé Conge
Edition et PresseNumérique et Internet

Choisissez un format

Valeur du crédit
1 crédit = 6.00€ TTC
(Hors pack)

si vous êtes enseignant, le site gryphea.org a été conçu spécialement pour vous !

Légende :

 

L’hypophyse est une petite glande située à la base du cerveau chez les Vertébrés, responsable de la synthèse et de la sécrétion de plusieurs hormones influant sur l’activité métabolique et hormonales d’autres organes du corps.

Elle dépend elle-même des sécrétions de neuro-hormones produites par une autre partie du cerveau, située juste à proximité, l’hypothalamus.

...

La suite du commentaire est réservée aux inscrits, créez un compte gratuitement.
Thèmes associés : Système endocrinien
Mots clés :
adénohypophyse x160système endocrinienhypophyseantérieureantéhypophyselobeantérieurhormonehormone de croissanceghhormone folliculo-stimulantefshhormone lutéinisantelhprolactineprlthyréostimulinetshhormone adénocorticotropeacthendorphinela mélanostimulinemshhypothalamustige pituitairetige hypophysairesystème portehypophysairehormone trophiqueneuro-hormonesécrétionneurosécrétionaxe gonadotropeendocrine