Banque d’images et de vidéos au service de l’illustration scientifique - Imaginée et développée par Hervé CONGE

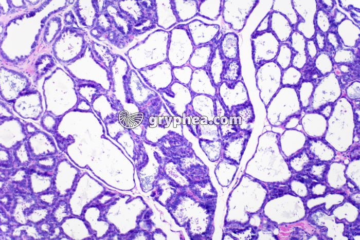
Glande mammaire en activité x40

Glande mammaire en activité x40 - gryphea.com
Type : Photographie
Référence : BN 52290
Auteur : Hervé Conge
Edition et PresseNumérique et Internet

Choisissez un format

Valeur du crédit
1 crédit = 6.00€ TTC
(Hors pack)

si vous êtes enseignant, le site gryphea.org a été conçu spécialement pour vous !

Légende :

Les glandes mammaires sont spécifiques des Mammifères, et produisent un liquide riche en nutriments qui servira à l’allaitement des jeunes : le lait. Elles entrent en lactation après la mise-bas (ou l’accouchement) chez les mammifères femelles, mais restent atrophiées chez les mâles. Elles sont formées de lobes de glandes exocrines, qui s’hypertrophient lors de la lactation sous l’influence de plusieurs hormones (prolactine, progestérone, ocytocine,...), et produisant le lait. Celui-ci est émis au niveau des mamelons après avoir circulé dans les canaux mammaires reliant les glandes à l’extérieur.

Les vaches, les brebis, le chèvres sont des mammifères d’élevage dont l’Homme exploite la lactation à des fins alimentaires et commerciales.



La suite du commentaire est réservée aux inscrits, créez un compte gratuitement.
Thèmes associés : Système reproducteur
Mots clés :
glande mammaire activesystème reproducteurglandesmammaireslaitlactationcanaux mammairesglandes exocrineshypertrophienutrimentsaccouchementmise-basmamelonsseinsmamellesocytocineprolactine