Banque d’images et de vidéos au service de l’illustration scientifique - Imaginée et développée par Hervé CONGE

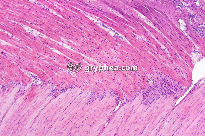
Fibres musculaires lisses x25

Fibres musculaires lisses x25 - gryphea.com
Type : Photographie
Référence : EN 60533a
Auteur : Hervé Conge
Edition et PresseNumérique et Internet

Choisissez un format

Valeur du crédit
1 crédit = 6.00€ TTC
(Hors pack)

si vous êtes enseignant, le site gryphea.org a été conçu spécialement pour vous !

Légende :

Les muscles lisses, à contraction involontaire, entrent dans la structure des organes du tube digestif, des appareils respiratoire, circulatoire, urinaire, reproducteur. Les cellules associées à ce tissu renferment un noyau plus ou moins central.



La suite du commentaire est réservée aux inscrits, créez un compte gratuitement.
Thèmes associés : Système musculo-squelettique
Mots clés :
système musculo-squelettiquemuscleactivitémusculairefibres musculairescellule musculairemyocytecontractionlentenoyauxmyoglobineprotéineirrigationvaisseaux sanguinscapillaires sanguinsaérobiqueaérobieanaérobiqueanaérobiedioxygèneénergiechaleurforcemouvementcontractilecontractilitémuscle circulairemuscle longitudinalpéristaltisme