Banque d’images et de vidéos au service de l’illustration scientifique - Imaginée et développée par Hervé CONGE

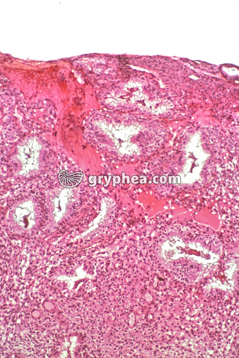
Endomètre phase sécrétoire x25

Endomètre phase sécrétoire x25 - gryphea.com
Type : Photographie
Référence : N 3737
Auteur : Hervé Conge
Edition et PresseNumérique et Internet

Choisissez un format

Valeur du crédit
1 crédit = 6.00€ TTC
(Hors pack)

si vous êtes enseignant, le site gryphea.org a été conçu spécialement pour vous !

Légende :

L’endomètre correspond à la couche interne de l’utérus, ou muqueuse interne. Ce tissu particulier évolue de manière importante au cours du cycle menstruel de la femme, où il s’épaissit, se vascularise et se creuse de très nombreuses cavités, dont la présence va favoriser l’implantation d’un embryon, quelques jours après la fécondation. La structure lâche qui en résulte prend le nom de dentelle utérine. A l’issue du cycle menstruel, si aucun embryon ne s’est implanté dans la dentelle utérine, l’endomètre régresse très rapidement, entraînant la rupture des nombreux vaisseaux sanguins irriguant l’endomètre, ce qui déclenche les règles (ou menstruations). Le développement de l’utérus, en cours de pré-oestrus (avant la fécondation) et au cours du post-oestrus (après la fécondation), se manifeste par des modifications anatomiques et histologiques bien identifiables.



La suite du commentaire est réservée aux inscrits, créez un compte gratuitement.
Mots clés :
système reproducteurendomètreutérusmyomètremuqueuseutérinedentelle utérinenidationcycle utérincavitésglandes utérinesembryontrophoblasterégressiondesquamationhémorragierèglescycle menstruelpré-oestuspost-oestrusvascularisationcapillaires sanguinsgrossesseplacenta